Welcome to Dr. Sudheer Kumar Pothu

Health Information Repository

Find reliable health information, FAQs & resources on topics of your interest

Is It Safe to Take a Steroid Injection into My Shoulder or Knee Joint?
A Patient-Centered Guide to Intra-Articular Steroid Injections Steroid injections into joints are a trusted and widely used treatment for joint pai...
Dr. Sudheer Kumar Pothu
Recovery Made Easy After Lumbar Discectomy Surgery | Dr. Sudheer Pothu
Recovering from lumbar discectomy surgery can feel daunting, but with the right guidance, patients can ensure a smooth recovery and maintain optima...
Dr. Sudheer Pothu
Diagnosis of Spondylolysis and Treatment Options
If a teenager experiences persistent back pain, a healthcare professional may recommend the following steps for diagnosis: 1. Physical Examinatio...
Dr. Sudheer Pothu
Preventing Text Neck Syndrome | Dr. Sudheer Pothu
Preventing Text Neck Syndrome | Dr. Sudheer Pothu
Text Neck Syndrome Refers to The Pain and Strain That Can Result from Excessive and Prolonged Use of Technology Devices Such as Smartphones and Com...
Dr. Sudheer Pothu
Ideal sitting ergonomics | Dr. Sudheer Pothu
Ideal sitting ergonomics | Dr. Sudheer Pothu
Prolonged sitting, especially in the workplace, can pose a number of health hazards. Here are some of the most common ones: Musculoskeletal probl...
Dr. Sudheer Pothu
Dr. Sudheer Pothu
How to choose the Right Spine Surgeon? | Dr. Sudheer Pothu
In India, as we don't have FAMILY PHYSICIANS referring to the concerned specialists like in the UK, Patients suffering from spine-related issues u...
Dr. Sudheer Pothu
X-Ray
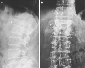
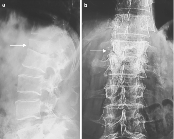
Spine Tuberculosis Diagnosis | Dr. Sudheer Pothu
Patients with relevant symptoms and risk factors should be suspected of having spine tuberculosis. To confirm the diagnosis, the following tests ar...
Dr. Sudheer Pothu
Symptoms of Spine Tuberculosis
Symptoms of Spine Tuberculosis | Dr. Sudheer Pothu
Spine tuberculosis can cause a variety of symptoms, which may include:   1. Persistent back pain, especially at night or with movement.   2. Stif...
Dr. Sudheer Pothu
Causes of Spine Tuberculosis
Causes of Spine Tuberculosis | Dr. Sudheer Pothu
The primary cause of spine tuberculosis is the bacteria Mycobacterium tuberculosis. It can be transmitted when someone with an active tuberculosis ...
Dr. Sudheer Pothu
Loading...
?
Ask Question
AboutMyClinic
SmartSite created on AboutMyClinic.com
Site-Help | Disclaimer
Disclaimer: The information provided here should not be used during any medical emergency or for the diagnosis or treatment of any medical condition. The information is provided solely for educational purpose and should not be considered a substitute for medical advice.